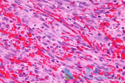
在临床上,卡波西肉瘤(KS)并不多见,只因其与艾滋病关系密切,才受到关注。笔者曾在纽约研究151例艾滋病尸检材料,其中有32例KS,故而对其比较熟悉。现将KS的临床病理表现简述如下。卡波西肉瘤临床表现要点:1)KS多见于青壮年,多见于男性同性恋者,发病率在尸检材料中高达94%。患者HIV抗体检测阳性。少数非HIV感染者也可发生,如接受器官移植和免疫抑制治疗者。

2)在艾滋病患者常为播散型分布,可发生于AIDS的任何阶段,发生在身体各部位,多见于皮肤和内脏。3)皮肤病变。皮损不典型,早期表现为扁平的斑片状(斑片型/期),继而发展为稍隆起的斑块(斑块型/期),进一步发展为局限性结节或肿块(结节型/期)。晚期皮肤可破溃,形成溃疡(溃疡型/期)。
4)内脏病变。在艾滋病患者卡波西肉瘤较早累及淋巴结和胃肠道黏膜,甚至实质性器官,如肝、脾、肾、肺等几乎所有组织。常表现为局限性出血性结节(结节型),或形成浸润性病灶(浸润型)。5)常合并机会性感染,与免疫损伤有关,如巨细胞病毒、EB病毒、疱疹病毒、念珠菌、肺孢子菌、分支杆菌等。
详情请访问 肿瘤 https://www.kangantu.com/














请简单描述您的疾病情况,我们会有专业的医学博士免费为您解答问题(24小时内进行电话回访)