咨询电话:4000-980-586

康安途海外就医 添加微信

常见疾病库

当前位置: 康安途海外医疗 > 医疗新闻 >
  • 价格低廉的印度替诺福韦二代(taf)效果如何?

    价格低廉的印度替诺福韦二代(taf)效果如何?

      乙肝大家都熟悉,由于人们担心乙肝的传染性从而造成乙肝群体被歧视,这让乙肝患者朋友们的身体和心理遭受了双重打击,虽然乙肝目前没有完全治愈的方法,但是有临床治愈的方法,通过长期服用 替诺福韦二代 (taf)能够有效治疗乙肝病毒,目前美国原产的TA ...

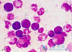
  • 急性粒细胞白血病是什么病?骨髓纤维化严重吗?

    急性粒细胞白血病是什么病?骨髓纤维化严重吗?

    急性髓细胞白血病又称急性非淋巴细胞白血病,是包括所有非淋巴细胞来源的急性白血病。   症状体征:   两型急性白血病(ALL和AML)的主要临床表现是大同小异,又各有特点。   1. 急性粒细胞白血病 未分化型(M1)骨髓中原始细胞Ⅰ型(典型原粒细胞,胞质中无 ...

  • 达沙替尼可治疗包括甲磺酸伊马替尼耐药的慢性骨髓性白血病

    达沙替尼可治疗包括甲磺酸伊马替尼耐药的慢性骨髓性白血病

      达沙替尼(Dasatinib/Sprycel),用于治疗包括 甲磺酸伊马替尼 (Imatinib mesylate/Gleevec)耐药或这是患者不能耐受的慢性骨髓性白血病所有病期(慢性期、加速期、淋巴系细胞急变期和髓细胞急变期)的成人患者。同时,FDA也经正常程序批准达沙替尼治疗 ...

  • 免疫疗法联合贝伐珠单抗成为肝细胞癌的新疗法

    免疫疗法联合贝伐珠单抗成为肝细胞癌的新疗法

       肝细胞癌 (HCC)是一种治疗选择有限的侵袭性癌症,是全球癌症死亡的主要原因之一。每年有75万人罹患肝细胞癌,大多数病例来自亚洲,其中几乎一半来自中国。在美国,自1980年以来,肝癌病例的数量翻了三倍,而肝细胞癌更是所有癌症相关的致死原因当中上 ...

  • 贝伐珠单抗联合Tecentriq获批治疗肝细胞癌患者

    贝伐珠单抗联合Tecentriq获批治疗肝细胞癌患者

      10月21日,罗氏宣布Tecentriq联合 贝伐珠单抗 用于治疗既往未接受过系统性治疗的不可切除的 肝细胞癌 (HCC)患者的IMbrave150 III期研究较目前的标准治疗索拉非尼相比,显著改善了患者总生存期和无进展生存期,到达主要终点。   这是全球首个获得成功 ...

  • 感染丙肝病毒后在不同时期会有不同的丙肝症状

    感染丙肝病毒后在不同时期会有不同的丙肝症状

      目前,大众对肝炎的关注仍集中在乙肝上,对丙肝的传播途径、危害和治疗方法普遍了解得不多。而事实上,丙肝跟个容易发展为肝硬化甚至肝癌。下面我们一起来看看 丙肝的症状 表现吧!1)急性丙肝:病情相对较轻,多数为急性无黄疸型肝炎,alt升高为主,少 ...

  • 吉三代是什么药物?吉三代的副作用有哪些?

    吉三代是什么药物?吉三代的副作用有哪些?

    吉三代说明书   中文名:吉三代又称吉利德三代   商品名:Epclusa,伊柯鲁沙   化学名:索非布韦Sofosbuvir+维帕他韦Velpatasvir   适应症: 吉三代 适用于一切基因型的丙肝患者(1-6型均适用);关于无肝硬化或代偿期肝硬化患者:单用吉三代;关于失 ...

  • 为什么有的人产生不了乙肝表面抗体阳性?感染乙肝病毒怎么办?

    为什么有的人产生不了乙肝表面抗体阳性?感染乙肝病毒怎么办?

      为什么注射了三针乙肝疫苗却产生不了 乙肝表面抗体阳性 呢?1、免疫功能低下,注射乙肝疫苗的同时机体不能够根据病毒产生相应量的乙肝表面抗体,或产生的抗体含量很低,现有的检测方法是无法检测到的,所以提示乙肝表面抗体阴性。这样的乙肝抗体很快就从 ...

  • 丙肝的危害之一是丙肝病毒难以被免疫清除

    丙肝的危害之一是丙肝病毒难以被免疫清除

      丙肝是有传染性的,由于丙肝开始的时候没有什么症状,丙肝都会对肝脏存在一定的损伤,如果没有进行及时治疗的话,日积月累就会发展为肝硬化或肝癌。除此之外,因为丙肝具有传染性,因而对他人的健康也造成了潜在的威胁,所以 丙肝的危害 是很大的,下面 ...

  • 二双甲胍是降糖的药物吗?二双甲胍有哪些呢?

    二双甲胍是降糖的药物吗?二双甲胍有哪些呢?

    二甲双胍是治疗糖尿病的一线 降糖药物 ,与苯乙双胍(降糖灵)同属双胍类药物。 二双甲胍 可以减少多肠道糖吸收及肝糖合成、增加胰岛素敏感性等机制发挥降糖作用。二甲双胍最主要还是很少的引发低血糖使之成为很多非内分泌科医生的控糖利器。   胃肠道副作 ...

  • 拜万戈/瑞戈非尼仿制药真的能控制住肿瘤吗?

    拜万戈/瑞戈非尼仿制药真的能控制住肿瘤吗?

      多吉美是首个肝癌靶向药,现在又有了新的靶向药,瑞戈非尼( 拜万戈 )是其中之一,已经获批用于多吉美耐药后的肝癌患者。但是国内的瑞戈非尼是进口原研药,价格十分的贵,普通家庭的患者根本吃不起,幸好有瑞戈非尼仿制药,患者才有了新的希望。下面是 ...

  • 仿制版的TAF和原研药抗病毒效果是一样的

    仿制版的TAF和原研药抗病毒效果是一样的

      80%的HBV患者有NAs经治史,既往使用阿德福韦酯片的乙肝患者出现耐药以后,继续使用恩替卡韦单药治疗5年耐药率高达51%,所以建议患者替换为TDF或者是 TAF 。ALT复常是预测HCC发展的独立替代性的指标,对于40+的男性患者而言,合并既往有HCC家族史的患者更 ...

  • 恩杂鲁胺(Xtandi)与ADT联用疗效会增加吗?

    恩杂鲁胺(Xtandi)与ADT联用疗效会增加吗?

      恩杂鲁胺( Xtandi )是一种强效雄激素受体抑制剂,已被证明对转移性和非转移性去势抵抗性前列腺癌(CRPC)有效。但恩杂鲁胺联合雄激素剥夺疗法(ADT)在mHSPC患者中的疗效尚不清楚。ARCHES研究中,患者以1:1比例随机接受恩杂鲁胺(160mg/天)+ADT方案或 ...

  • 二甲双胍用于治疗2型糖尿病的吗?二甲双胍的不良反应是什么?

    二甲双胍用于治疗2型糖尿病的吗?二甲双胍的不良反应是什么?

    二甲双胍说明书   【名称】二甲双胍   【结构特点】   含2个甲基、2个胍基;具强碱性,盐酸盐的水溶液呈近中性。   【适应证】   1.二甲双胍片首选用单纯饮食控制及体育锻炼治疗无效的 2型糖尿病 ,特别是肥胖的2型糖尿病。   2.本品与胰岛素合 ...

  • 恩替卡韦副作用有哪些?恩替卡韦片适应症状是什么?

    恩替卡韦副作用有哪些?恩替卡韦片适应症状是什么?

    恩替卡韦说明书   恩替卡韦的适应症:   1、经济条件较好的,已婚已育人群   2、肝硬化人群,尤其是肝功能正常的人群。   3、需要长期服药的人群,不能停药的人群,包括免疫力低下,有合并症等人群   4、阿德福韦酯耐药的人群   恩替卡韦的副作 ...

  • 依西美坦比来曲唑更适合有骨质风险的乳腺癌

    依西美坦比来曲唑更适合有骨质风险的乳腺癌

      为何有骨质风险的乳腺癌患者,宜选择甾体类AI?内分泌治疗、化疗、靶向治疗都是乳腺癌非常重要的治疗方法,有非常明确的适宜人群。所以患者在选择治疗药物前,一定要具体情况具体分析,不仅要考虑乳腺癌的治疗,还要考虑药物的不良反应。比如在选内分泌 ...

  • 治疗手段和肝癌药物的应用让肝癌治疗取得不错的效果

    治疗手段和肝癌药物的应用让肝癌治疗取得不错的效果

      注意这5个地方,可以远离 肝癌 :1、防治肝炎,大部分的肝癌都是因为肝炎发展而来,所以病毒性肝炎的是人类预防肝癌的重要措施。预防肝炎的最直接有效方式就是注射疫苗,一般婴儿在出生后护士就会为其注射乙肝疫苗,其母亲如果是乙肝病毒携带者,还需要 ...

  • 印度阿比特龙(Abiraterone)为什么便宜?

    印度阿比特龙(Abiraterone)为什么便宜?

      阿比特龙( Abiraterone )是一个靶向药,能抑制睾丸、肾上腺和肿瘤中睾酮的合成,所以对前列腺癌有很好的疗效——延长患者的整体生存率,提高患者生活质量。阿比特龙治疗前列腺癌时的用量是每天4片,但是要注意的是患者在接受阿比特龙治疗的同时需要联 ...

  • 弗隆来曲唑片和芙瑞来曲唑片在治疗乳腺癌上有什么区别?

    弗隆来曲唑片和芙瑞来曲唑片在治疗乳腺癌上有什么区别?

      由于 弗隆来曲唑片 是属于进口处方药,但是弗隆来曲唑片的作用和副作用和芙瑞来曲唑片并不是有着太大的差别,不过弗隆来曲唑片在价格上有些贵,仅仅一盒就需要1369元;弗隆来曲唑片包装:2.5mg每片,每盒有30片;由于芙瑞来曲唑片是属于国产药,所以在价 ...

  • 恩替卡韦是什么药物?恩替卡韦价格是多少呢?

    恩替卡韦是什么药物?恩替卡韦价格是多少呢?

    截止到目前为止,中国 已经有1亿的乙肝表面抗原阳性的人群,乙肝也是中国传染的疾病最高的病,其中患有慢性乙肝的患者有3000万以上,治疗慢性的药物——恩替卡韦片,自从 恩替卡韦片 进入了中国的市场之后便进入了快速发展时期。   恩替卡韦以其安全高效、 ...

添加康安途医学博士免费咨询

已有 127822 名患者成功添加
专业医学博士,7*24小时响应服务需求,用药参考,前沿治疗,报告解读等解决您在治疗过程中遇到的所有问题。

频道栏目

最新文章

本周热门文章
咨询电话

微信咨询

微信

扫描二维码
免费咨询医学博士

乐伐替尼