急性髓细胞白血病又称急性非淋巴细胞白血病,是包括所有非淋巴细胞来源的急性白血病。
症状体征:
两型急性白血病(ALL和AML)的主要临床表现是大同小异,又各有特点。
1.急性粒细胞白血病未分化型(M1)骨髓中原始细胞Ⅰ型(典型原粒细胞,胞质中无颗粒)+Ⅱ型(有原粒细胞特征,胞质量少,有少量细小颗粒)>90%,早幼粒细胞少,中性中幼粒细胞及以下阶段粒细胞不见或罕见,至少3%的原始细胞过氧化物酶或苏丹黑染色阳性,M1型占AML的10%~20%,年龄中位数40~50岁,仅1/3有肝,脾或淋结肿大,血象大多呈红细胞及血小板减少,半数白细胞增多,1/4白细胞减少,无特殊的细胞遗传学异常,通常对化疗敏感,预后较好。

2.急性粒细胞白血病分化型(M2)骨髓原始细胞I+Ⅱ型占30%~89%,早幼粒细胞及以下阶段粒细胞>10%,M2型占AML的30%~45%,平均年龄为30岁,常见细胞遗传学异常,其中29%~40%为t(8;21),且Auer小体常阳性,免疫表型除具髓系特点外,可伴CD56及CD19阳性。
3.颗粒增多的早幼粒细胞白血病(M3)又称急性早幼粒细胞白血病(APL),骨髓早幼粒细胞>30%,如胞质颗粒粗大,密集或融合,称粗颗粒型(M3a);如颗粒细小而密集,称细颗粒型(M3b);如周围血早幼粒细胞颗粒甚少或缺如,而骨髓中仍为典型的早幼粒细胞,称变异型(M3v),各型Auer小体均多见。
4.急性粒-单核细胞白血病(AMMOL,M4)粒-单系二种细胞以不同比例同时存在于骨髓和周围血中,包括:①M4a:原始和早幼粒细胞增生为主,原,幼单核和单核细胞>20%;②M4b:原,幼单核细胞增生为主,原始和早幼粒细胞>20%;③M4c:原始细胞既呈粒细胞系,又呈单核细胞系形态特征者>30%;④M4E:除上述任一项条件者,同时存在5%~30%的细胞伴粗大而圆的嗜酸颗粒及着色较深的嗜碱颗粒,前者电镜下无中心晶体样结构。
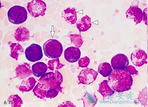
5.急性单核细胞白血病(AMOL,M5)骨髓原始单核细胞≥80%,称未分化型,即M5a,原始单核细胞<30%,称分化型,即 M5b。
6.红白血病(M6)当骨髓中红系细胞>50%,或红系细胞>30%,但其中15%以上为形态异常的幼红细胞,上述两种情况之一伴原粒细胞或原始单核细胞≥30%(非红系细胞计数即可),即为红白血病,幼红细胞常伴胞质空泡,核异常及类巨幼变。
7.急性核细胞在骨髓原始≥30%时,如果有骨髓纤维化,则需行骨髓活检,经免疫组化证实有原始巨核细胞增多。
详情请到 医疗 https://www.kangantu.com/news/














请简单描述您的疾病情况,我们会有专业的医学博士免费为您解答问题(24小时内进行电话回访)